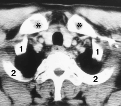
In 1990, Bhalla et al presented a useful method for counting ribs on CT scans in which the bilateral clavicles were used as anatomic landmarks. The first step was to identify the first rib on the axial image that demonstrated the medial third of the clavicle (the Figure below). Bhalla et al also used the costovertebral articulation as a landmark for counting vertebral bodies.
Rib counting at CT with the clavicle as an anatomic landmark. Axial CT scan shows the medial third of the clavicle (*) and the relative position of the first two ribs (1, 2).
Identifying the first rib in relation to the clavicles is easy and precise; however, counting ribs from the clavicles is tedious for middle and lower rib lesions. Furthermore, counting thoracic vertebrae may be imprecise owing to partial volume effect.
Other methods: We can also use the xiphoid process, or the sternal angle as an anatomic landmark to determine the precise location of the ribs.

